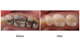
We invite you to have a look at some of the results you could see visiting our experienced team at Hammond Dental Care! If you have questions regarding the services we offer that could be right for you or if you want to schedule an appointment with our dentists in Surprise, Arizona, give us a call at 623-328-7346. Dr. Nathan Hammond and Dr. Patrick Stone hope to see you and your family soon!
We Can’t Wait To Meet You!
Let us improve your oral health with our comprehensive dental services. Schedule your next visit with us today.
623-328-7346



